A respiratory physician or thoracic surgeon should be involved in the care of all patients requiring chest tube drainage for pleural infection
 
About
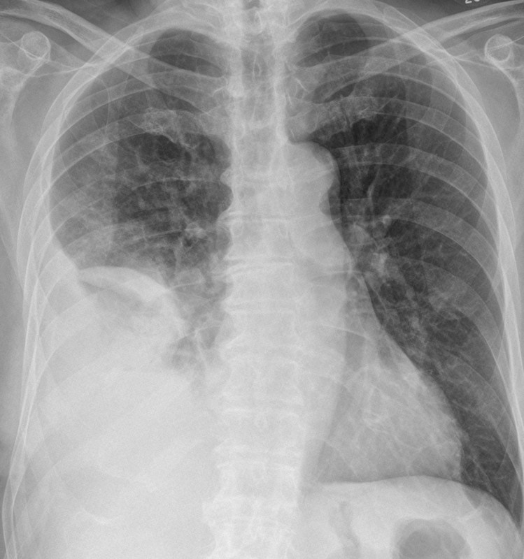
- Pleural empyema is a collection of pus in the pleural cavity caused by microorganisms, usually bacteria
Aetiology
- Usually bacterial or TB
- Chest source
- Post pneumonia
- Post penetrating Chest trauma
- Post Oesophageal rupture
- Post lung surgery
- Post chest tube placement
- Pus can gather under pressure with rupture
 
- Abdominal source
- Subphrenic abscess
- Pancreatitis
- Intra-abdominal sepsis
 
Complications
- Generalised sepsis
- Rupture
- Into a bronchus: bronchopleural fistula and pyopneumothorax
- Cutaneous fistula and subcutaneous abscess (empyema
necessitans.)
 
- Purulent pericarditis
- Peritonitis by rupturing through diaphragm
- Meningitis
- Arthritis
- Osteomyelitis
- Lung collapse
- Amyloidosis
Risks
- Stroke, dementia, alcoholism, gastric reflux, and poorly controlled epilepsy
- Immunocompromised, malignancy, IV drug use
- Poor dental hygiene, and diabetes mellitus
Clinical
- Recent diagnosis and treatment of pneumonia/penetrating chest trauma
- Cough productive of bloody sputum with offensive odour and appearance
- Fever. Dyspnoea, Anorexia, weight loss, night sweats, Pleuritic chest pain
Organism
- Community-acquired: Streptococcus spp. (52%) S milleri, S pneumoniae, S intermedius. Staphylococcus aureus (11%), Gram-negative aerobes (9%), Enterobacteriaceae, Escherichia coli
Anaerobes (20%), Fusobacterium spp., Bacteroides spp, Peptostreptococcus spp, Mixed
- Hospital Acquired: Staphylococci: Methicillin-resistant S aureus (MRSA) (25%), S aureus (10%). Gram-negative aerobes (17%) E coli, Pseudomonas aeruginosa, Klebsiella spp. Anaerobes (8%)
- Fungal empyema is rare (<1% of pleural infection).
Differentials
- Sterile simple parapneumonic effusion develops in the pleural space post pneumonia requires simple observation
- Complicated parapneumonic effusion: pH <7.20, glucose <2.2 mmol/l and LDH >1000 IU/l requires chest drain
- PE may be seen post immobilisation and may need CT PA to exclude
Investigations
- FBC, U&E, CRP, LFTS, blood cultures for aerobic and anaerobic bacteria
- CXR may show consolidation and an effusion
- All patients with a pleural effusion in association with
sepsis or a pneumonic illness require diagnostic pleural
fluid sampling
- Contrast-enhanced CT scanning with the scan performed in the
tissue phase may be of value. Pleural thickening. exudative parapneumonic effusions
- A simple parapneumonic effusion has the following: pH >7.2, LDH <1,000 IU/L and glucose >2.2 mmol/L
- A chest tube drainage is recommended for: pH <7.2, LDH >1,000 IU/L, glucose <2.2 mmol/L (grade B)
Management
- ABC, VTE prophylaxis, Nutrition, Appropriate antimicrobial therapy after consultation with microbiology. Issues will be differentiating TB vs Non-TB disease and this may require biopsies.
- BTS guidelines for the management of pleural infection state that poor clinical progress during treatment with antibiotics alone should lead to immediate patient review and probably chest tube drainage of any pleural effusion (grade B). The presence of loculation on the CXR is associated with poor prognosis, and BTS guidelines suggest that this is an additional indication for early chest tube drainage
- BTS guidelines for the insertion of a chest drain state that premedication (benzodiazepine or opioid) should be given to relieve the patient distress unless there are contraindications
- There is no evidence that large-bore tubes are more effective than smaller (10-14 French) tubes in this context. However, there is no consensus on the matter, and if a small-bore flexible catheter is used, regular flushing is recommended to avoid catheter blockage (grade C). A small-bore catheter 10e14 F will be adequate for
most cases of pleural infection
References